Vous évitez les photos. Vous retenez votre sourire. Ce que vous traversez n’est pas anodin : un sourire désaligné peut peser sur la confiance, l’aisance sociale, la façon dont vous vous présentez au monde.
La gouttière dentaire pour redresser les dents, aussi appelée aligneur transparent ou traitement Invisalign, est aujourd’hui la solution la plus discrète pour retrouver un sourire aligné et naturel. Elle permet de redresser les dents sans bagues en douceur, progressivement, dans le respect de votre morphologie.
Prix moyen : 1 500 à 4000 € selon votre cas. Durée : 6 à 18 mois en moyenne.
À Die, nous proposons une approche holistique qui combine alignement dentaire et transformation identitaire profonde : retrouver confiance en soi, estime personnelle et qualité de vie.
Cet article vous guide à travers tout ce qu’il est utile de savoir : types de gouttières, déroulement du soin, prix, remboursement, résultats et ce que cette transformation peut ouvrir en vous.
Sommaire
- Qu’est-ce qu’une gouttière dentaire pour redresser les dents ?
- Pour qui la gouttière est-elle indiquée ? Limites & contre-indications
- Déroulement du traitement : étapes, durée, suivi, engagement
- Résultats visibles (avant/après), ressentis intérieurs
- Questions fréquentes sur la gouttière pour redresser les dents
- Investissement, remboursement, solutions et sécurité
- La Clinique du Sourire : une transformation holistique
Qu’est-ce qu’une gouttière dentaire pour redresser les dents ?
La gouttière dentaire est un appareil orthodontique transparent, amovible et sur mesure, conçu pour aligner ses dents progressivement. En plastique transparent de qualité médicale, cet aligneur dentaire corrige différents problèmes de positionnement. Pour les adultes souhaitant un traitement discret et sur-mesure, l’appareil dentaire transparent pour adulte constitue une alternative idéale à la gouttière classique.
Contrairement aux bagues métalliques avec fil, la gouttière d’alignement orthodontique s’inscrit dans une démarche douce : elle accompagne le mouvement dentaire millimètre par millimètre, sans douleur, dans le respect de votre morphologie. C’est un dispositif médical à part entière, prescrit et suivi par un chirurgien-dentiste ou un orthodontiste qualifié.
Les différents types de gouttières existantes

Il existe plusieurs types de gouttières dentaires, chacune répondant à un besoin spécifique. Voici les principales catégories utilisées en cabinet dentaire :
– Gouttière d’alignement dentaire : c’est le type utilisé pour redresser les dents. Transparente, amovible, portée 22 heures par jour, elle constitue le cœur du traitement d’orthodontie pour adulte. Également appelée aligneur
dentaire invisible ou gouttière orthodontique transparente.
– Gouttière de contention : portée après la phase active du traitement orthodontique, elle stabilise les dents dans leur nouvelle position. La contention dentaire est une étape non négociable pour maintenir les résultats dans la durée.
– Gouttière occlusale (ou plaque occlusale) : utilisée principalement pour les problèmes de bruxisme, cette gouttière dentaire pour la nuit protège les dents du grincement nocturne (bruxisme protège-dents). Elle améliore aussi la qualité du sommeil en réduisant les tensions musculaires nocturnes.
– Gouttière de blanchiment dentaire : un dispositif utilisé pour le blanchiment dentaire à domicile, fabriqué sur mesure par votre dentiste pour maximiser l’efficacité du soin.
– Gouttière anti-ronflement et anti-grincement : une solution complémentaire pour les personnes souffrant de ronflements ou de tensions nocturnes, qui améliore la qualité du sommeil et le confort masticatoire.
Chaque type de gouttière dentaire répond à une indication précise. C’est le rôle du spécialiste en appareil dentaire ou de l’orthodontiste de déterminer laquelle est adaptée à votre situation, votre dentition et vos objectifs.
Ce type de dispositif s’inscrit pleinement dans le cadre d’un redressement dentaire progressif et respectueux de votre morphologie.
Comment fonctionne un aligneur dentaire ? principe et étapes du plan de traitement

Le principe de l’aligneur dentaire est d’exercer une force légère, mais d’intensité continue sur l’ensemble de vos dents, qui ainsi se repositionnent de façon totalement indolore. Contrairement aux bagues dentaires métalliques avec fil, le déplacement dentaire se fait doucement et sans douleur.
Toutes les deux semaines environ, vous passez à un nouvel aligneur, pour que vos dents bougent en douceur, millimètre par millimètre. Vous êtes régulièrement suivi par votre praticien au cabinet afin de contrôler l’évolution et le bon avancement du traitement en cours.
Le déroulement d’un traitement par gouttière orthodontique suit en général ces étapes :
- Scan numérique 3D au cabinet dentaire : la prise d’empreintes moderne par scanner garantit une précision millimétrique de chaque aligneur fabriqué.
- Élaboration du plan de traitement : votre chirurgien-dentiste ou orthodontiste modélise l’évolution prévue de votre dentition et vous présente le résultat attendu avant même de commencer.
- Fabrication sur mesure des gouttières dentaires dans un laboratoire spécialisé, à partir des données de votre scan.
- Port quotidien de 22 heures par jour minimum, les gouttières se retirent pour manger, boire et réaliser votre hygiène dentaire.
- Suivi régulier au cabinet dentaire, avec des consultations de contrôle espacées selon l’avancement du traitement.
- Phase de contention : après le traitement actif, une gouttière de contention est portée pour maintenir la position des dents alignées.
La technique du traitement orthodontique par aligneur (Invisalign) est aujourd’hui largement utilisée en France et dans le monde entier, avec un niveau de sécurité et d’efficacité reconnu par la communauté médicale.
Avantages concrets par rapport aux appareils dentaires classiques
La facilité d’entretien : leur conception amovible permet aux patients de retirer facilement l’appareil pour effectuer un nettoyage simple et régulier. Cette liberté transforme votre rapport à l’orthodontie : fini les contraintes alimentaires, les difficultés de soin quotidien ou les rendez-vous d’urgence pour réparations.
À l’âge adulte, il n’est pas si courant de porter un appareil. C’est pourquoi il est préférable d’opter pour une solution esthétique et efficace. C’est chose faite avec les gouttières qui permettent un alignement des dents tout en discrétion.
L’appareil vous permet de continuer vos activités professionnelles, vos rendez-vous importants, vos moments intimes sans jamais révéler votre traitement. Cette discrétion nourrit votre confiance et facilite votre transformation intérieure. De nombreux services proposent différents types d’aligneurs, mais rares sont ceux qui offrent un accompagnement humain authentique.
Comparatif : gouttière vs autres solutions
| Critère | Gouttières invisibles | Appareil dentaire classique (bagues) |
|---|---|---|
| Esthétique | ||
| Confort | ||
| Amovibilité | ||
| Hygiène buccale | ||
| Restrictions alimentaires | ||
| Nombre de visites | ||
| Durée moyenne | 6 à 18 mois | 12 à 24 mois |
| Type de traitement | Traitement discret, orthodontie adulte | Cas complexes, enfant et adolescent |
| Alternative discrète |
Et si vous choisissiez la solution alignée à votre histoire ? Offrez-vous un diagnostic transformationnel, un espace d’écoute pour éclairer votre expression et votre renaissance identitaire.
Pour qui la gouttière est-elle indiquée ? Indications, limites & contre-indications

Adultes, seniors : un traitement orthodontique à tout âge
La gouttière dentaire s’adresse principalement aux adultes, à tout âge, souhaitant corriger leur alignement dentaire de façon discrète. Elle est particulièrement adaptée au redressement dentaire pour adulte pour des malocclusions légères à modérées, dans le cadre d’un traitement d’orthodontie invisible.
La gouttière dentaire est particulièrement appréciée pour ceux qui sont à la recherche d’une solution invisible et efficace.
La gouttière s’adresse particulièrement aux adultes en quête d’alignement esthétique et énergétique. Cette solution s’adresse aussi aux personnes en transition de vie, comme les jeunes retraités, qui ressentent le besoin de se réconcilier avec leur sourire et leur image.
Elle accompagne des patients désireux de révéler leur identité à travers un sourire harmonieux, sans les contraintes des bagues métalliques.
Elle est aussi particulièrement choisie par les professionnels en contact constant avec leur public : avocats, managers, enseignants, thérapeutes, artistes, pour qui la discrétion du traitement est non négociable. La gouttière ne gêne ni l’élocution, ni la relation, ni l’image. Le traitement avance en silence, invisible aux yeux des autres.
Indications principales du traitement orthodontique par gouttière
Les situations les plus couramment traitées par aligneur dentaire orthodontique sont :
— Le chevauchement dentaire : des dents qui se superposent partiellement, rendant l’hygiène dentaire plus difficile et favorisant la carie.
— Le diastème : un écartement entre deux dents, souvent les incisives, que la gouttière peut progressivement corriger.
— La béance : un défaut d’occlusion où les dents supérieures et inférieures ne se rejoignent pas correctement, pouvant entraîner des problèmes d’élocution ou de mastication.
— La malocclusion légère à modérée : lorsque la mâchoire supérieure et la mâchoire inférieure ne s’articulent pas harmonieusement, la gouttière orthodontique peut corriger le décalage dans le cadre du traitement prévu.
— La prévention de la carie : un meilleur alignement dentaire facilite l’entretien et l’hygiène bucco-dentaire quotidienne, réduisant les risques de dépôt de plaque.
Limites et contre-indications importantes
La gouttière dentaire présente certaines limitations qu’il est essentiel de connaître avant d’envisager ce type de traitement orthodontique :
— Les encombrements ou diastèmes supérieurs à 10 mm (DDM importante).
— Les décalages antéro-postérieurs entre mâchoire supérieure et mâchoire inférieure dépassant 5 mm.
— Les malocclusions sévères avec des rotations ou inclinaisons dentaires importantes qui nécessitent un dispositif orthodontique plus puissant.
Dans ces situations, votre chirurgien-dentiste ou orthodontiste vous orientera vers une solution mieux adaptée à la complexité de votre cas.
Comment savoir si c’est fait pour vous ?
Seul un professionnel de santé qualifié, chirurgien-dentiste ou orthodontiste, peut évaluer votre dentition, analyser les risques et vous proposer le traitement le plus adapté à votre situation. Chaque cas est unique. Une consultation au cabinet dentaire est le seul moyen de le déterminer avec certitude.
Offrez-vous un espace d’écoute et de clarté pour éclairer votre choix. Contactez notre équipe.
Déroulement du traitement : étapes, durée, suivi, engagement

Prise de mesures, scan, fabrication sur-mesure
Le traitement orthodontique par gouttière dentaire débute par un scan numérique 3D de votre dentition, réalisé directement au cabinet dentaire et à partir d’empreintes précises de votre dentition.
Ce scanner permet une précision millimétrique dans la fabrication de chaque aligneur. Les données sont ensuite transmises via le protocole ClinCheck (invisalign) à un laboratoire spécialisé, qui fabrique l’ensemble de vos gouttières personnalisées et qui permet de définir également le nombre et la position des taquets à coller sur les dents pour maintenir les aligneurs en position.
La modélisation 3D vous permet, dès la première consultation, de visualiser le résultat attendu et de comprendre chaque étape du déroulement prévu.
Cette technique mise au point (Invisalign) est utilisée dans le monde entier avec succès.
Durée du traitement : combien de temps porter la gouttière ?
La durée du traitement orthodontique par gouttière varie entre 12 et 24 mois selon la complexité du cas et la situation initiale. Chaque aligneur est porté en moyenne deux semaines, puis remplacé par le suivant.
Le port quotidien recommandé est de 22 heures par jour minimum. Les gouttières se retirent uniquement pour manger, boire (hors eau), et réaliser l’hygiène dentaire. Cette utilisation rigoureuse conditionne directement l’efficacité et la durée du traitement.
Le port quotidien de votre aligneur devient une pratique de bienveillance envers vous-même. Chaque jour porté vous rapproche de votre expression révélée, de cette version de vous-même qui n’attend que de rayonner.
La gouttière de contention, portée à l’issue de la phase active, assure la stabilité des dents dans leur nouvelle position. Sa durée de port est déterminée par votre praticien au cabinet, selon l’évolution observée.
Suivi médical et accompagnement au cabinet dentaire :
Au cours du traitement orthodontique, des consultations de contrôle régulières sont planifiées. En moyenne, une consultation par trimestre suffit pour suivre le bon déroulement et valider chaque étape du plan de traitement.
Accompagnement transformationnel de la Clinique du Sourire : Coaching identitaire
À la Clinique du Sourire à Die, l’approche va au-delà du soin dentaire. Le Dr Isabelle Bertieaux, dentiste holistique en Drôme, intègre à chaque parcours une dimension identitaire et énergétique unique en France. Ce qui change ici, ce n’est pas seulement la position de chaque dent, c’est la façon dont vous retrouvez un sourire aligné avec votre identité.
L’accompagnement proposé comprend :
— Un suivi médical rigoureux avec votre praticien au cabinet dentaire.
— Des consultations de contrôle régulières pour assurer la progression du traitement orthodontique.
— Un coaching identitaire personnalisé, pour intégrer cette transformation dans votre quotidien et votre relation à vous-même
— Une disponibilité humaine et chaleureuse, au cabinet comme à distance.
— Une coordination possible avec d’autres professionnels de santé (orthophoniste, ostéopathe) pour un rééquilibrage global, en cohérence avec notre approche holistique.
Osez la transformation, découvrez comment ça change tout – Réservez une rencontre avec notre équipe bienveillante.
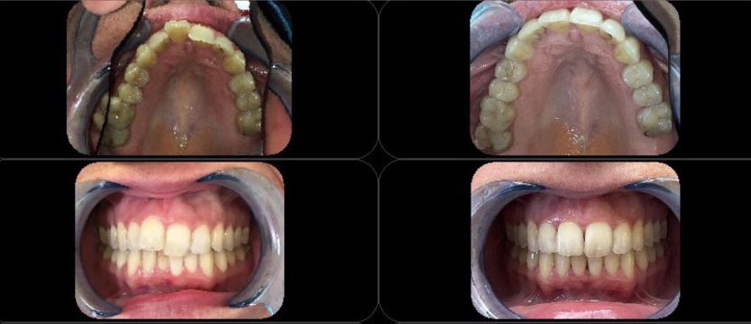
Résultats visibles (avant/après), ressentis intérieurs

Transformation esthétique et évolution physique
Les résultats du traitement orthodontique par gouttière dentaire se révèlent progressivement, dans le respect de la physiologie de votre bouche. Dent après dent, aligneur après aligneur, la dentition évolue vers un équilibre plus harmonieux.
Au-delà de l’esthétique, le traitement améliore la qualité de la santé bucco-dentaire : une dentition mieux alignée facilite l’hygiène, réduit la plaque dentaire, diminue le risque de carie et améliore la fonction masticatoire. L’occlusion retrouve son équilibre naturel, ce qui peut soulager certaines tensions au niveau de la mâchoire.
Contrairement au blanchiment dentaire ou à un dentier fixe, cette solution corrige durablement la position souhaitée de chaque dent.
La triple dimension de la transformation
À la Clinique du Sourire, le résultat attendu est toujours envisagé sur trois niveaux :
1) Physique : alignement dentaire, amélioration de l’occlusion, santé bucco-dentaire optimale, réduction de la plaque dentaire
2) Émotionnel : confiance retrouvée, estime de soi, aisance sociale
3) Identitaire : alignement énergétique, rayonnement authentique, cohérence entre votre expression extérieure et votre monde intérieur.
Ces transformations se révèlent progressivement, accompagnant votre évolution sur tous les plans.
Retours vécus : confiance retrouvée, renaissance
Au-delà de l’alignement dentaire, nos patients témoignent d’une véritable métamorphose intérieure.

Ces témoignages révèlent l’impact profond de notre approche : corriger devient un acte de renaissance, une réconciliation avec soi-même qui rayonne dans tous les domaines de la vie.
Que ce soit pour prévenir une maladie, corriger un défaut d’alignement ou simplement rendre votre sourire plus éclatant, nous sommes là pour vous accompagner.
Prix, remboursement et prise en charge : sécurité sociale et mutuelle dentaire

Quel est le prix d’une gouttière dentaire ?
Le prix de l’appareil dentaire transparent varie généralement entre 1 000 € et 5 000 € pour un traitement complet avec aligneurs. L’assurance maladie rembourse l’orthodontie pour les enfants de moins de 16 ans et de manière exceptionnelle pour les adultes, avec un tarif de convention établi. Pour les adultes, la prise en charge est limitée à un semestre non renouvelable.
Solutions de financement :
– Certaines mutuelles santé peuvent vous proposer un forfait annuel dédié aux équipements dentaires, un remboursement basé sur un pourcentage. Le montant remboursé peut varier de 100 € à 400 € selon les contrats achetés au cours du mois dernier ou disponibles sur internet.
– Paiement échelonné sans frais
– Devis transparent et personnalisé – obtenir un devis avis facile et rapide
– Aucune surprise : tous les actes sont détaillés dans le devis initial
Qu’est-ce qui est inclus dans votre forfait ?
Le prix de votre traitement par gouttière comprend l’ensemble du parcours, de la première consultation à la contention finale : l’examen clinique complet avec prise d’empreintes numériques, photos et clichés radio ; la fabrication de toutes vos gouttières sur mesure en laboratoire ; les visites de contrôle régulières (en moyenne tous les deux mois) ; les éventuels ajustements finaux ; et la gouttière de contention qui stabilise le résultat. Il n’y a pas de frais cachés en cours de traitement.
Le prix d’un alignement dentaire par gouttière varie entre
1 500 et 4 000 € selon la complexité du cas, la durée du
traitement et les matériaux utilisés. Ce tarif comprend
l’ensemble du parcours : scan 3D, fabrication des gouttières,
suivi et contention finale.
Les modalités de règlement s’adaptent à votre situation : paiement comptant à la pose, ou forfaits mensuels sur la durée du traitement.
Pourquoi éviter les gouttières vendues sur Internet ?
Les gouttières dentaires disponibles sur internet sans prescription ni suivi médical ne constituent pas un dispositif médical au sens légal. Elles présentent des risques pour la santé dentaire : absence de diagnostic, mauvaise adaptation, absence de suivi de l’occlusion et de la santé des gencives. Un traitement orthodontique ne s’improvise pas, il se prescrit, se suit et s’ajuste par un professionnel qualifié, en cabinet dentaire.
L’acte du cabinet : réponse personnalisée à chaque situation
Chaque patient bénéficie d’un accompagnement spécifique adapté à sa situation. Notre cabinet dentaire propose une réponse sur-mesure, que ce soit pour un traitement esthétique ou pour traiter des troubles fonctionnels.
Nous prenons en compte non seulement l’aspect esthétique, mais aussi la fonction masticatoire et l’hygiène dentaire. Cette approche globale distingue notre cabinet des solutions disponibles sur internet sans accompagnement professionnel.
Pourquoi l’approche transformationnelle fait la différence
À la Clinique du Sourire à Die, nous ne vendons pas seulement un traitement, nous vous invitons à une renaissance. Notre double expertise (dentisterie transformationnelle + coaching identitaire) vous garantit :
– Un accompagnement complet sur les trois plans : physique, émotionnel, identitaire
– Un accompagnement personnalisé unique en France, au cabinet comme à distance
– Des transformations qui dépassent l’esthétique pour toucher votre essence
Notre engagement : révéler non seulement votre expression, mais votre rayonnement authentique.
Offrir à son expression un espace de révélation
Et si c’était le moment de vous choisir ? De voir enfin cette expression qui sommeille depuis des années ? Votre gouttière pour redresser les dents devient alors bien plus qu’un appareil – elle devient le pont vers cette version de vous-même qui n’attend que de rayonner.
Le lieu où vous choisissez de débuter ce parcours est important. Notre cabinet à Die offre un espace d’accueil chaleureux où chaque consultation devient un moment de transformation.
Questions fréquentes sur la gouttière pour redresser les dents

La gouttière dentaire est-elle douloureuse ?
La gouttière pour redresser les dents n’est pas douloureuse. Vous pouvez ressentir une légère pression lors du changement d’aligneur (toutes les 2 semaines), signe que vos dents bougent. Cette sensation disparaît généralement en 24-48h. À la Clinique du Sourire à Die, chaque étape est accompagnée avec douceur pour que votre transformation soit vécue sereinement.
La gouttière est elle efficace dans tous les cas ?
La gouttière d’alignement dentaire est efficace pour les malocclusions légères à modérées : chevauchements, diastèmes, béances légères. Elle n’est pas adaptée aux cas complexes nécessitant un dispositif orthodontique plus puissant. Seul un bilan clinique permet de déterminer si votre cas est compatible, c’est l’objet de notre diagnostic transformationnel offert à Die.
Combien de temps faut-il porter la gouttière par jour ?
La gouttière doit être portée 22 heures par jour minimum. Elle se retire uniquement pour manger, boire (hors eau) et réaliser votre hygiène dentaire. Le respect de ce port conditionne directement l’efficacité et la durée du traitement. Chaque heure portée vous rapproche du sourire que vous méritez.
Comment fonctionne une gouttière dentaire ?
Un aligneur exerce une pression sur les dents pour qu’elles se tournent lentement dans la position souhaitée. Le mouvement se fait en douceur, millimètre par millimètre, sans douleur, en fonction de votre plan établi par le cabinet.
Combien de temps dure le traitement ?
En règle générale, le traitement dure entre 1 et 3 ans. Pour l’orthodontie, la durée du traitement complet est généralement de 12 à 24 mois selon la complexité du cas et votre situation initiale.
Comment nettoyer une gouttière dentaire ?
Nettoyez-la quotidiennement avec une brosse souple et du savon neutre pour éviter une gouttière invisalign qui jaunit. Évitez l’eau chaude qui déforme le plastique. En complément : brossez-vous les dents après chaque repas avant de remettre la gouttière ; utilisez le fil interdentaire deux fois par jour pour libérer les espaces entre les dents et faciliter leur mobilité ; rincez-vous la bouche à l’eau claire avant de replacer l’aligneur. Évitez le café et la cigarette qui colorent rapidement la gouttière, ainsi que les aliments collants qui risquent de décoller les taquets collés sur vos dents.
Le tabac affecte-t-il l’efficacité du traitement ?
La nicotine et les goudrons colorent les gouttières et compromettent leur discrétion. Le tabac augmente aussi le risque d’inflammation gingivale, ralentit la mobilité dentaire et assèche la bouche, ce qui peut créer des irritations. Si vous fumez, retirez systématiquement l’aligneur avant de fumer et rincez la bouche avant de le replacer. L’arrêt du tabac reste la meilleure option pour la santé bucco-dentaire et l’efficacité du traitement.
Peut on boire avec les gouttières ?
Seule l’eau est autorisée gouttière en bouche. Le café, le thé, les sodas, les jus de fruits, les boissons alcoolisées et les produits laitiers sont à éviter : les colorants et sucres tachent l’aligneur, érodent l’émail et favorisent les caries sous la gouttière. Pour toute autre boisson, retirez l’aligneur, buvez, rincez-vous la bouche, puis replacez-le.
Quels aliments ou boissons risquent de colorer mes gouttières ?
Certains aliments et boissons tachent les aligneurs plus vite que d’autres : le curcuma, le cassis et les betteraves rouges sont les principaux responsables côté alimentation. Le café et le thé s’y ajoutent. La bonne nouvelle : chaque gouttière étant remplacée toutes les deux semaines, un léger jaunissement en cours d’utilisation n’a pas d’impact durable. Un rinçage soigneux après chaque exposition et un brossage quotidien de l’aligneur suffisent à préserver sa transparence le temps du port.
Quel est le prix d’une gouttière dentaire ? Quel remboursement ?
Le tarif d’un appareil dentaire varie généralement entre 1 500 euros et 4 000 euros pour la totalité du traitement par gouttières dentaires. Les complémentaires santé offrent une prise en charge de quelques centaines d’euros selon votre contrat de mutuelle santé.
À quel âge peut-on commencer un traitement par gouttière ?
La gouttière dentaire s’adresse principalement aux adultes et adolescents dont la dentition permanente est complète (généralement à partir de 16-17 ans). Il n’y a pas d’âge maximum : de nombreux adultes en transition de vie, retraite, reconversion, nouveau départ, choisissent ce traitement pour retrouver un sourire aligné avec leur nouvelle identité. À Die, nous accompagnons des patients de tous âges.
La Clinique du Sourire : une transformation holistique à Die, Drôme
Utiliser une gouttière pour redresser ses dents, c’est bien plus que corriger une position dentaire. C’est choisir de retrouver une expression juste, un sourire qui vous ressemble, une présence au monde plus libre et plus alignée. La gouttière dentaire, lorsqu’elle est intégrée dans un accompagnement global et humain, devient le point de départ d’une transformation qui touche à bien plus que l’esthétique.
Car votre expression mérite plus qu’un simple traitement, elle mérite une véritable renaissance. Fabriquée sur-mesure pour vous, chaque gouttière est une étape vers votre transformation complète.
Nous sommes à Die, dans la Drôme, au 2 Maladrerie. Nos horaires pour vous accueillir au cabinet :
– Lundi et Mardi : 09h00-12h00, 14h00-18h00
– Jeudi : 09h00-12h00, 14h00-18h00
– Vendredi : 09h00-12h00
Réservez un diagnostic transformationnel – Osez révéler l’expression qui sommeille en vous, découvrez les avis de nos clients et obtenez une réponse personnalisée.
Contactez-nous ou prenez rendez-vous en ligne
En savoir plus
https://www.elle.fr/…/J-ai-teste-les-gouttieres-pour-aligner-mes-dents-et-voici-le-resultat-4118878
https://www.doctissimo.fr/…/gouttiere-dentaire-prix-bruxisme-douleur-aligement-remboursement

Le Docteur Isabelle Bertieaux a obtenu son diplôme de chirurgien-dentiste en Belgique en 1985 à l’université de Bruxelles. Elle a aussi été formée auprès de collègues renommés pour leurs compétences, faisant partie de certaines sociétés scientifiques dentaires (SOP/ODENTH/…). Elle a accompagné plus de 40.000 patients, a créé 6 cabinets dentaires dont la clinique du sourire à Die dans la Drôme en 2018. Régulièrement, elle donne des conférences. Son approche globale est holistique. Elle fait appel aux médecines douces, aux meilleures technologies actuelles et pratique le décodage dentaire. Plus que jamais, elle travaille dans le respect des dents, des êtres et de la planète, adoptant un comportement écologique et biologique. Passionnée d’esthétique et d’une approche respectueuse de la dent, le Docteur Isabelle Bertieaux crée le sourire qui reflète 100% votre personnalité. Les méthodes qu’elle utilise corrigent de nombreux problèmes de forme, d’usure, de couleurs, d’alignement, de fragilité.

